Orthodontic Brushing and Flossing
BRUSH AFTER EVERY MEAL.
Brushing and Flossing Instructional Video

Make sure to brush the areas where gums meet your teeth.

Use a toothbrush with a small amount of toothpaste.

Brush every tooth slowly.

Brush above and below your braces, while angling your toothbrush under the wire.
FLOSS NIGHTLY AFTER BRUSHING TO REMOVE THE PLAQUE MISSED BY BRUSHING.

Carefully pull waxed floss between the wire and braces.

Floss carefully around the braces.

Floss carefully around the gum area.

Floss around each tooth.
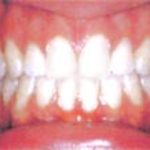
RESULTS

Proper Oral Hygiene

Improper Brushing and Flossing